Skada: Plattfot - kronisk
Synonymer
Orsak
Beror troligen på medfödd överrörlighet. Överrörlighet i metatarsale 1 -> ökad belastning medialt -> ökat rörelseuttag i TN (talo-navikulare-leden) -> minskad extension i fotled -> spetsfot -> ännu mer belastning medialt -> springligamentet (kalkaneus-navikulare) rupturerar ->TP (tibialis posterior) överbelastas och inflammeras, ev. rupturerar -> hålfoten sjunker, framfoten förskjuts plantart/medialt och hälen valgiseras = plattfot.
Klassificering
Meary’s vinkel (vinkel mellan talus längsaxel och metatarsale 1):
- -4° - +4 °: normalt
- 4-15° : mild plattfot
- 15-30°: måttlig plattfot
- > 30°: svår plattfot

Exempel på måttlig plattfot. Klicka på bilden för förstoring.
Grad av dysfunktion i tibialis posterior:
- Smärta utan felställning,
- Flexibel felställning med eller utan abduktion i mellanfoten
- Rigid felställning
- Även fotledsfelställning.
Symtom
- Nedsjunken hålfot
- Too many toes sign - när man ser en fot bakifrån så brukar man kunna se lilltån och halva dig 4. Vid plattfothet så kan man se fler tår. [1]
- Valgusställd häl
- Smärta och svullnad på insida av bakre del av foten [2]
- Balansproblem [2]
- Stelhet i fotled [2]
Diagnos
- Klinisk diagnos: symtom enligt ovan och oförmåga att varisera hälen vid tåstående [1]
På vårdcentral
- Fysioterapi [3]
- Rekommendera stabila skor med uppbyggd hålfot [3]
- Beställ belastad slätröntgen av fotled och fot [3]
- Vid fortsatta besvär trots ovanstående: remiss till ortopedteknisk avdelning för fotbäddar med medialt stöd [3]
- Vid fortsatta besvär trots iläggssulor från OTA: remiss till ortopedklinik [3]
På ortopedklinik
Remissbedömning
Kontrollera att det finns aktuell belastad slätröntgenbild.
Utredning
- Innan ev. operation så bör belastad röntgen med frontal- och sidobild genomföras (framför allt för att avgöra eventuell artros, grad av dislokation i TN-led och nivådiagnostik på ledkollaps). [1]
Icke-kirurgisk behandling
Vid flexibel plattfot (grad I och II):
- Specialanpassade korrigerande inlägg som gjuts med avlastad fot i neutralläge och inte genom ”tramp i låda”. [1]
- Fysioterapeutiskt träningsprogram, helst av specialintresserad fysioterapeut, i minst 6 månader. [1]
Operationsindikation
- Stora besvär trots icke-kirurgisk behandlig
Kontraindikationer mot kirurgi
- Ej genomgått icke-kirurgiskt behandlingsförsök. [1]
- Kirurgisk korrektion av plattfothet har lång konvalescens och rehabilitering, vid oförmåga till detta bör man avstå. [1]
Operationsmetod
Vid tendinos utan felställning är kirurgi oftast otillräckligt och med frekvent recidivtendens.
Flexibel plattfot:
- Medialiserande hälosteotomi. [1]
- Tibialis posterior (TP) inspekteras och eventuell tendinos åtgärdas. [1]
- FDL-transferering som förstärkning medialt. [1]
- Springligamentet bör inspekteras och vid behov åtgärdas. [1]
- Vid supinerad framfot trots ovanstående kirurgi kan man utföra TMT 1-artrodes eller plantarflekterande osteotomi (Cotton/Mt 1). [1]
- Vid kraftig abduktion av mellanfoten kan man överväga lateral förlängningsosteotomi enligt Evans. [1]
- Vid uttalad spetsfot (testat med hälen i neutralläge) kan man prova gastroknemiusförlängning (förlängning av hälsenan riskerar ge nedsatt kraft i frånskjutet). [1]

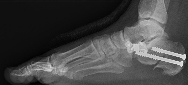
Plattfot opererad med kalkaneusosteotomi och Evans osteotomi
Rigid plattfot:
- Patienten bör remitteras till ett center med stor erfarenhet av bakfotskirurgi, oftast finns inslag av artros och behandlingen är oftast korrigerande artrodeser. [1]
Postoperativt
- Cirkulärt underbensgips i 6–12 veckor, den längre tiden vid artrodes. [1]
- Avlastning i 3–6 veckor. [1]
- Långvarig rehabilitering av specialintresserad fysioterapeut. [1]
ICD-10
- M21.4: Förvärvad plattfot
- Q66.5: Medfödd plattfot
Referenser
- Fotkirurgi - elektiva operationer för patienter över 16 år, av Svenska Fotkirurgiska Sällskapet (besökt 2018-06-24)
- Patientinformation från Medibas (besökt 2018-07-22)
- Ansvarsfördelning mellan primärvård och ortopedisk specialistvård, VGR (besökt 2024-09-27)
- Meary angle på radiopaedia.org (besökt 2025-12-02)
Uppdaterad: 2025-12-21 16:28:17 av Lars Johanson