Skada: Luxation pisiforme
Bakgrund
Os pisiforme sitter som sesamben i flexor carpi ulnaris.
Symtom
Ovanligt. Kan hända efter fall med dorsalextenderad handled. [1]
- Svullnad, smärta, hematom volart/ulnart på handleden. [1]
- Nedsatt greppstyrka och flektionsförmåga i handled [1]
Diagnos
Oftast slätröntgenundersökning följt av DT.

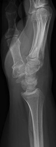
Exempel på luxation av pisiforme, har också fraktur i skafoideum. Utreddes även med DT, pisiforme exciderades av handkirurg.
Handläggning
- Om möjligt så sluten reposition i hematomblockad, gips, uppföljning efter 2 med röntgen- och klinisk undersökning och 6 veckor med klinisk undersökning [1]
- Om inte möjligt att reponera slutet så diskussion med handkirurg för antingen öppen reposition alt. excision
ICD-10
- S63.0: Luxation i handled
Referenser
- Pisiform dislocation på BMJ Case Reports (besökt 2026-02-13)
Uppdaterad: 2026-03-06 16:41:55 av Lars Johansson